El Sistema Nervioso Central (SNC), formado por el encéfalo y la médula espinal está protegido por un fluido de color amarillento, el líquido cefalorraquídeo (LCR) que lo mantiene húmedo y lo protege de los golpes, entre otras funciones.Este líquido se produce en los plexos coroideos de los ventrículos encefálicos a razón de unos 800 cc por día. Desde los ventrículos fluye por una serie de agujeros y conductos, se desparrama por la superficie cerebral, el espacio subaracnoideo espinal, es reabsorbido en las vellosidades aracnoideas y pasa a las grandes venas encefálicas, en la misma proporción que es producido.
Para que este equilibrio entre producción y reabsorción sea perfecto, todas las vías por donde circula deben estar permeables. Las estenosis congénitas, el colapso de un conducto por un tumor, un pequeño coágulo de sangre u otros procesos patológicos pueden alterarlo. Cualquiera de ellos provoca la retención de LCR en los ventrículos que comienzan a dilatarse de manera anómala. Si no se soluciona este problema la persona podría morir por hipertensión intracraneal.
Para que este equilibrio entre producción y reabsorción sea perfecto, todas las vías por donde circula deben estar permeables. Las estenosis congénitas, el colapso de un conducto por un tumor, un pequeño coágulo de sangre u otros procesos patológicos pueden alterarlo. Cualquiera de ellos provoca la retención de LCR en los ventrículos que comienzan a dilatarse de manera anómala. Si no se soluciona este problema la persona podría morir por hipertensión intracraneal.
Afortunadamente a alguien se le ocurrió hace muchos años un método sencillo pero muy laborioso: perforar el cráneo, atravesar el cerebro con un tubo rígido hasta llegar a los ventrículos y dejar que el líquido fluyese al exterior. El primer paso estaba dado, ¿pero qué hacer con ese líquido que se producía de manera incesante? El siguiente paso era conectar el catéter intracraneal a una válvula subcutánea y ésta a un largo catéter de plástico, que se introducía por debajo de la piel del cuello, continuaba por la pared anterior del tórax y una vez atravesado el difragma se dejaba la punta en la cavidad abdominal.
Con este ingenioso procedimiento quedaba solucionado el problema. La derivación ventricular no se podía drenar a un recipiente externo porque resultaría muy incómodo para el paciente portador y habría riesgo de infección. Sin embargo haciendo una derivación ventrículo peritoneal el LCR sobrante es vertido y se reabsorbe en la cavidad abdominal sin ningún problema. De esta forma los pacientes pueden hacer una vida normal y no hay riesgo de infección porque el LCR drenado es un fluido completamente estéril.. En las siguientes imágenes se refleja este método quirúrgico de derivación ventrículo-peritoneal (Figuras 1, 2, 3 y 4).

FIGURA 1) Representación figurada del trayecto que recorre el catéter de plástico, por debajo de la piel, hasta que llega a la cavidad abdominal (peritoneal) donde vierte el exceso de LCR que se acumula en los ventrículos encefálicos, en un momento determinado.
FIGURA 2) Los primeros sistemas de derivacion ventrículo-peritoneal eran, en su totalidad, de plástico. La punta de la válvula se colocaba en el ventrículo, después de prácticar un agujero de trépano. Posteriormente se conectaba con un largo catéter flexible que debía ser introducido por debajo del cuero cabelludo, la piel retroauricular y la pared anterior del tórax hasta que el extremo se introdujera en la cavidad peritoneal.
FIGURA 3) El trayecto subgaleal del catéter puede apreciarse fácilmente en las exploraciones de TC craneoencefálicas.
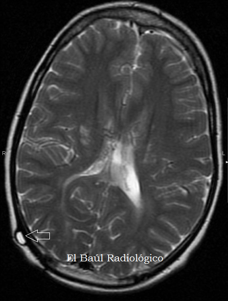
FIGURA 3) Estos catéteres de plástico no producen artefactos en las imágenes de IRM. Tan solo se aprecia la zona de entrada en el cráneo como si fuera una pequeña vesícula de líquido.
VALVULAS REGULABLES. (PROGRAMMABLE VALVES) (PROGAV)
Sin embargo este sencillo procedimiento, con válvulas de presión fija, no siempre da buenos resultados, unas veces porque el catéter se obstruye y otras, porque se producen fluctuaciones importantes en el drenaje cuando el paciente se acuesta en la cama para dormir o la causa desencadenante de la hidrocefalia (tumor, infección, etc) empeoraba.
Para evitar los inconvenientes de los dispositivos de presión fija se han diseñado válvulas de presión modificable según los requerimientos de cada persona (Figura 4). Estas válvulas son unidireccionales, es decir que facilitan el flujo en sentido ventrículo-abdominal pero impiden el reflujo desde la cavidad peritoneal hacia los ventrículos. En el momento en el que la derivación es implantada, el neurocirujano programa la válvula con la cifra más adecuada para que cuando aumente la presión intraventricular por encima, el dispositivo permita el flujo de LCR hacia la cavidad peritoneal.
La innovación de estas válvulas programables se basa en que la presión de salida del LCR se puede ajustar sin necesidad de realizar procedimientos quirúrgicos (Figura 4). El ajuste de la presión de apertura de la válvula se realiza con un imán (un campo magnético codificado) aplicado desde el exterior sobre la válvula subcutánea, que hace relieve en la piel de la cabeza del paciente. Este campo magnético externo modifica la presión de salida de flujo de LCR a través de la válvula y permite corregir las fluctuaciones de la presión intracraneal de manera cómoda y ambulatoria. Las válvulas programables se implantan en la hidrocefalia obstructiva de los niños y jóvenes, mientras que las fijas son para los adultos. Así contado parece muy sencillo y definitivo, pero los resultados no siempre son los deseados.
Para evitar los inconvenientes de los dispositivos de presión fija se han diseñado válvulas de presión modificable según los requerimientos de cada persona (Figura 4). Estas válvulas son unidireccionales, es decir que facilitan el flujo en sentido ventrículo-abdominal pero impiden el reflujo desde la cavidad peritoneal hacia los ventrículos. En el momento en el que la derivación es implantada, el neurocirujano programa la válvula con la cifra más adecuada para que cuando aumente la presión intraventricular por encima, el dispositivo permita el flujo de LCR hacia la cavidad peritoneal.
La innovación de estas válvulas programables se basa en que la presión de salida del LCR se puede ajustar sin necesidad de realizar procedimientos quirúrgicos (Figura 4). El ajuste de la presión de apertura de la válvula se realiza con un imán (un campo magnético codificado) aplicado desde el exterior sobre la válvula subcutánea, que hace relieve en la piel de la cabeza del paciente. Este campo magnético externo modifica la presión de salida de flujo de LCR a través de la válvula y permite corregir las fluctuaciones de la presión intracraneal de manera cómoda y ambulatoria. Las válvulas programables se implantan en la hidrocefalia obstructiva de los niños y jóvenes, mientras que las fijas son para los adultos. Así contado parece muy sencillo y definitivo, pero los resultados no siempre son los deseados.
FIGURA 4) El sistema reciente de válvulas, ProGAV de Miethke, representa un gran avance con respecto a las anteriores porque permite a los cirujanos regular la presión de evacuación de LCR sin necesidad de intervenir quirúrgicamente. Estos sistemas llevan dos válvulas de titanio que se colocan debajo de la piel.
FIGURA 5) La válvula metálica de PRO GAV MIETHKE es muy pequeña, como se puede apreciar en esta fotografía.

FIGURA 6) En este esquema se puede apreciar el sofisticado mecanismo hidráulico que se esconde en el interior de las válvulas de derivación ventrículo-peritoneales programables, de MIETHKE.
FIGURA 7) En esta reconstrucción, "Volume Rendering", se aprecia perfectamente el orificio de entrada del catéter en la cavidad craneal, la válvula programable y el trayecto descendente del catéter distal, por debajo del cuero cabelludo que ha sido eliminado en esta reconstrucción informática.
PRECAUCIONES:
(A) TOMOGRAFÍA AXIAL COMPUTARIZADA (TAC):
FIGURA 7) Imagen axial de TAC craneoencefálica donde se aprecia el dispositivo metálico, del tamaño de una moneda de 5 céntimos de euro, debajo de la piel.(A) TOMOGRAFÍA AXIAL COMPUTARIZADA (TAC):
Estas válvulas programables, a pesar de que son metálicas, no producen artefactos en las imágenes de TAC craneoencefálicas.
TOMOGRAFÍA POR RESONANCIA MAGNÉTICA (TRM) (IRM).
En las exploraciones de TRM craneoencefálicas realizadas en pacientes que llevan un sistema de derivación ventrículo-peritoneal, ProGAV de Miethke, pueden surgir algunos inconvenientes
1) La porción metálica produce grandes artefactos de susceptibilidad magnética.
2) Hay que controlar el correcto funcionamiento del sitema magnético de presiones, antes y después de acabar la exploración, porque los campos magnéticos de elevada intensidad pueden desprogramar el sistema.
3) Hay que realizar exploraciones cortas y no superar los 10-15 minutos de duración, porque el metal se puede calentar mucho. Se deben elegir secuencias de Eco de Gradiente con preferencia a las de Espín Eco.
FIGURA 8) Desgraciadamente estas válvulas metálicas producen grandes artefactos oscuros por susceptibilidad magnética, cuando se realizan exploraciones de TRM (IRM) craneoencefálicas (flecha).
Trayecto subcutáneo completo del catéter de drenaje de un sistema de Derivación Ventrículo Peritoneal (Flechas).
Servicio de Radiodiagnóstico (Neurorradiología). Hospital Universitario Miguel Servet. (HUMS) Zaragoza.Spaiñ
Buenas noches mi mamá tiene una valvula ventriculo peritoneal hace 4 años se la colocaron la ncx le dijo q no podria hacerce resonancias pero su salud ha desmejorado hace año y medio el neurologo le mando una resonancia de craneo tengo mis dudas para hacercela se podra hacer sin consecuencias o q hago????? Gracias
ResponderEliminarHola Luzil: Algunos dispositivos neuroquirúrgicos que se implantan son compatibles con los aparatos de IRM y otros más antiguos no. Depende del material con el que fueron fabricados. En el informe postquirúrgico que le dieron debe de constar el tipo de válvula que se implantó y todos los detalles del fabricante.
EliminarCon eso se comprueba en la web MRI.Safety.com si es segura. Debe hablar con la neurocirujana que se la implantó, porque si no, no querrán hacer la exploración en el centro a donde vaya. Información y por escrito. La información oral no debe tenerse en cuenta. Un saludo.
Hola Luis, gracias de antemano, mi niño fue operado con un mes de vida debido a que una gran hemorragia paranquimatosa le filtro sangre al ventrículo, lleva una progav 2.0 y milagrosamente su estado es fantástico, mi pregunta es ¿hay protectores específicos para proteger la entrada rígida del tubo? Vamos una especie de casco que refuerce esa zona. Si los conoce ¿me podría decir fabricante?
ResponderEliminarGracias, un saludo
Hola Oscar: Si pregunta en las tiendas de ropa para bebés encontrará algunos modelos. Hay muchos tipos de "chichoneras" para niños pequeños. Puede mirar en Google (cascos para bebés) y ver cual le parece mejor para su caso concreto. Un saludo.
EliminarHola donde puedo conseguir Urgente! una valvula de derivacion ventricular peritonial de titanio enforma de "Y"?
ResponderEliminarestamos en Los Angeles CA o en Mexico D.F.
Hola: En mi país, es el Hospital y el neurocirujano quienes proporcionan la válvula más adecuada para cada paciente. Nunca me he encontrado en la situación de tener que comprarla.
EliminarDe todas formas, uno de los principales fabricantes de dispositivos médicos se llama MEDTRONIC. Tiene su sede en USA. Puede consultar con ellos.
http://www.medtronic.com/us-en/index.html
http://www.medtronic.es/su-salud/hidrocefalia/terapia/que-es/
Hola Gracias por la informacion que brindas, en mi caso tengo una duda, mi hermana tiene 13 años y le dx Hidrocefalia hace unos meses,y le colocaran la valvula, despues de colocarla las personas llevan una vida normal?
ResponderEliminarHola: Si la válvula funciona correctamente, las personas portadoras pueden llevar una vida normal: estudiar, trabajar, hacer una carrera universitaria etc. Un saludo.
EliminarMuchas Gracias por tu respuesta luis
EliminarHola a mi mama le diagnosticaron Hidrocefalia y le colocaron la valvula hace 3 semanas pero hoy nos dimos cuenta que tiene moretones en todo el recorrido que realiza el cateter, sera normal o es alguna reaccion. de antemano muchisimas gracias
ResponderEliminarHola Nora: Cuando se introduce el catéter de plástico por debajo de la piel siempre se producen pequeños focos de hemorragia en el trayecto hasta la cavidad abdominal. Desaparecen espontáneamente con el tiempo como cualquier hematoma subcutáneo postraumático. Un saludo.
EliminarBuenos días, estamos intentando implantar estos dispositivos en perritos con hidrocefalia. el problema son los costes económicos de las válvulas. sabe alguien de válvulas reutilizadas en medicina humana por cambios o algunas reutilizadas? sería para nosotros de gran ayuda
ResponderEliminardejo mi correo. Antonio.lopez@jc1veterinarios.es
un saludo, Antonio
Hola Antonio: No creo que pudieran reutilizarse las válvulas diseñadas para los humanos. Pero si hay muchos veterinarios como usted, pronto las casas comerciales comenzarán a fabricarlas también para los perros, a precios asequibles. Que tenga suerte en su tarea de aliviar la vida de nuestros mejores amigos.
Eliminarhola buenas tardes donde puedo conseguir una valvula de derivacion ventriculo peritoneal programable ME URGUE muchas gracias de ante mano
ResponderEliminarHola Ricardo: Aquí le pongo el enlace a uno de los principales fabricantes de válvulas (MEDTRONIC):
Eliminarhttp://www.medtronic.es/su-salud/hidrocefalia/terapia/que-es/
Consulte con ellos. Un saludo.
Buenos dias,soy de argentina querria saber donde puedo comprar una valvula ventricular pediatrica,es URGENTE. Para una bebe q se encuentra interna y los padres no la pueden comprar y yo la quiero donar para salvarle la vida a ese angelito. Desde ya gracias
ResponderEliminarquizas aca puedan ayudarte ,http://www.orlosh.com.ar
EliminarFelicitaciones por esta pagina web!!!
ResponderEliminarGracias. Comentarios como el suyo ayudan a continuar publicando.
EliminarHola Doctor, mi hija de 3 años tiene una DVP con válvula regulable Strata. En el ultimo mes se le desreguló varias veces, incluso de un día cada 2 días. Ella esta bien cuando la presión de trabajo de la válvula esta en 0,5 y se le sube a 2 o 2,5. No ha estado expuesta a campos magnéticos importantes, como lineas de alta tensión y la hemos mantenido en lugares y espacios cotidianos. Sabe decirme que otras cosas pueden influir en su variación de la regulación de la presión?
ResponderEliminarLa otra duda que tengo es, el dispositivo de medición mide la presión de la válvula o la presión intracraneana. Desde ya muchas gracias por su tiempo y felicitaciones por el sitio.
Hola Andrea: La válvula mide la presión intracraneal y se abre automáticamente cuando aumenta, favoreciendo la salida del líquido cefalorraquídeo. Con este sencillo mecanismo se regula la cantidad de líquido.
EliminarEl líquido cefalorraquídeo se produce en los plexos coroideos de los ventriculos, circula por toda la cavidad craneal y luego tiene que ser reabsorbido en las vellosidades aracnoideas por donde pasa a las venas.
Cualquier problema, como una infección, que altere el equilibrio entre producción y reabsorción, provocará hipertensión. Consulte con el neurocirujano.
Un saludo.
buenas, mi marido hizo un edema cerebral con esta misma valvula. usted sabe donde me puedo comunicar para que le regulen la valvula?
Eliminarhola necesitamos una de estas valvulas como hacemos para obtenerlas mi prima esta hospitalizada en la ciudad de caracas y la necesitamos como hacemos para contactarlos ,donde estan ubicados y cuanto cuesta
ResponderEliminarHola Arilanyeri: Aquí le pongo el enlace a la web de uno de los principales fabricantes de válvulas (MEDTRONIC):
Eliminarhttp://www.medtronic.es/su-salud/hidrocefalia/terapia/que-es/
Consulte con ellos. Un saludo.
Hola ,mi hijo ha sido intervenido dos veces x infección en la válvula, yo lo asocio a la radioterapia,casualmente estaba en ella cuando se infectó y la tuvieron q cambiar ,hoy tiene una nueva,se esta recuperando, había quedado como vegetal yy ha salido poco a poco,hoy tengo de noticias q ocupa la radioterapia y tengo miedo,no se si solo yo lo asocie con las infecciones de la válvula o tengan algún historial igual al mío,losmedicos no lo asocian,y me dicen q no fue la rafioterapia..
ResponderEliminarHola Eva: Las infecciones se producen por bacterias, virus, hongos y algunos otros micro-organismos. Las radiaciones utilizadas en Radioterapia, nunca producen infecciones. De eso puede estar bien segura. Un saludo.
EliminarHola. Tengo 40 años, felizmente casada hace 17 y con dos bellos hijos adolecentes. A los 3 añitos me colocaron una de las primeras válvulas de Haking recién llegadas a México. En el Hospital La Raza. A l8s 6 años lo único que me cambiaron fue el catéter por uno más largo para mi adultez, (La cual nadie ni los médicos esperaban que llegara) sin embargo los planes de Dios para mi vida fueron otros y con todo y válvula y catéter aquí ando. Nunca me la han cambiado mucho menos quitado. Ya no funciona pero tampoco estorba así que mejor vivo con ella.les quería Compartir esto en este foro porque se que como papas o familiares es difícil pensar en el futuro de las personas que son intervenidas así. Sin embargo la fe es importante y saber que si hay casos como yo que hemos llegado lejos y llevado una vida muy normal. Un abrazote. Y Dios les bendice. Me encantaría saber de ustedes.
ResponderEliminarGracias Joyce por su comentario. Su testimonio ayudará a muchas personas que viven angustiadas por un problema similar. Un saludo.
EliminarHola. Revisando la serie de inquietudes que plantean. Primeramente deben tener mucha Fe y darle gracias al Gran Poder de Dios. Tengo una niña de 19 años, que la intervinieron a los 6 meses de nacida y posterior, a los 9 meses tuvo obstrucción de la válvula, lo cual amerito el cambio a una PS medical, la cual posee hasta la presente fecha. Además ha hecho su vida normal y esta cursando estudios universitarios. Totalmente normal. Si los estudios de primaria y secundaria amerito inscribirla en colegios con poca población estudiantil por recomendación del neurocirujano Dr. FÉLIX CLEMENTE DE LUIGI.
ResponderEliminarHola ami hijo le diacnosticaron quistes en la cabeza nesecita con urgencia una Vacvula Peritonial presión baja pediátrica el apenas tiene 9 años éso no le afectará su crecimiento.
ResponderEliminarHola buenas noches. Donde puedo conseguir una valvula de estas soy de la ciudad de Mexico
ResponderEliminarHola Doctor, quisiera hacerle una pregunta
ResponderEliminarExiste una relación con el uso de la váluva DVP y la producción de Scwannomas?? El schwannoma puede originar una hidricefalia?
Hola Doctor, quisiera ayuda,mi hija tiene esclerosis tuberosa genética ella tiene 15 años y apenas se le complicó le dio hidrocefalia por tumores,la operaron poniendo válvula de Derivacion ventrículo peritoneal la cuál no sirvió el doctor dijo que se tapo la vuelven a operar poniendo otra válvula lo cual dejaron dos, ella sigue con vómito,dolor de cabeza y crisisconvulciva el doctor dice que ya no hay nada que ASER mi pregunta es ?si es verdad ,que ya no se puede ASER nada para salvar a mi hija y si la dejo así que consecuencias hay? Espero y me pueda orientar ella se la pasa dormida además que perdió su vista es muy triste que lleve una vida asi
ResponderEliminarmi hijo tiene 30 años de 26 le dianosticaron hidrosefalia al año de verle puesto la valvula le vollvieron los mismos sintomas y hisieron otra sirugia el tercer ventriculo despues eso a mi hijo se le puso el torax lleno de agua le tuvieron k hacer otra sirugia esta muy delicado a k se debio eso me sient muy triste por esta situacion
ResponderEliminar