El edema de papila o papiledema es un término clínico utilizado en oftalmología para describir un aspecto anómalo de la papila que aparece prominente en la inspección ocular. Es un signo indirecto de varios trastornos oculares o intracraneales. El papiledema se descubre cuando el oftalmólogo inspecciona el fondo de ojo de una persona. Las causas que producen edema de la papila son múltiples y su significado incierto, porque en la mayoría de los casos sólo refleja un aumento de la presión intracraneal, presión que se transmite, a través del líquido cefalorraquídeo que rodea a los nervios ópticos, hasta la papila.
El edema de papila es solamente la punta del iceberg que esconde un proceso patológico retro-orbitario o intracraneal, producido por tumores, hematomas intracraneales, traumatismos, hidrocefalia, meningitis y cualquier otra situación patológica que produzca hipertensión intracraneal de forma aguda o crónica. La Tomografía Computarizada o la Tomografía por Resonancia Magnética son las modalidades de Neuroimagen que mejor ayudan al oftalmólogo a descifrar la incógnita que se oculta detrás de un papiledema bilateral.
Key Words: Rare Diseases. Enfermedades raras. Dural calcifications. Computed Tomography. Intracranial hypertension. Papilledema.
En las siguientes imágenes presentamos dos casos clínicos, muy raros, de papiledema crónico, secundario a hipertensión intracraneal producida por una disminución de la capacidad craneal secundaria a:
1) La presencia del múltiples depósitos cálcicos en las membranas de la duramadre que forman la hoz del cerebro y la tienda del cerebelo.
2) Hiperostosis intracraneal difusa idiopática.
El aumento de la presión endocraneal se produjo por la calcificación abigarrada y difusa de la hoz del cerebro y de la tienda del cerebelo. Las calcificaciones durales y el hallazgo de focos de osificación fisiológica de la hoz cerebral, son hallazgos bastante frecuentes en las exploraciones de Tomografía Computarizada craneoencefálica realizadas en personas mayores, pero no son tan voluminosas y extensas como las que aquí se muestran. Nunca habíamos visto, ni conocemos comunicaciones científicas de calcificaciones durales tan llamativas que fueran responsables de hipertensión intracraneal, por efecto de masa, ni de la aparición de edema de papila. Se han descrito algunos casos de papiledema producido por calcificación circunscrita de las vainas durales de los nervios ópticos (1,2,3) pero aún así, las referencias a esta entidad son desconocidas o inexistentes.
Mujer de 62 años que acude a su médico porque nota desde hace varios meses visión borrosa y cefalea persistente. No refiere antecentes clínicos de interés. A la exploración física el oftalmológo describe: proptosis bilateral y papiledema con pequeñas hemorragias y tortuosidad de las arcadas vasculares superiores de la papila. Ante los hallazgos descritos se solicita exploración de Tomografía Computarizada craneoencefálica para aclarar la causa del papiledema.
CASO 1)
Mujer de 60 años.
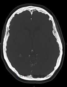
FIGURA 2) Calcificaciones idiopáticas, de aspecto nodular, que se localizan en la tienda del cerebelo (Flechas)
FIGURA 3) Calcificaciones de la tienda del cerebelo (Flechas). Hiperostosis endocraneal difusa idiopática.
FIGURA 4) Más calcificaciones.
FIGURA 5)
FIGURA 6) Calcificaciones grumosas en la hoz del cerebro.
FIGURA 7) Calcificaciones grumosas en la hoz del cerebro.
FIGURA 9)
FIGURA 10)
FIGURAS 9-10-11) En estas imágenes las calcificaciones de la hoz, en la cisura interhemisférica, forman una especie de cordón trenzado muy grueso que produce efecto de masa.
FISIOPATOLOGÍA: (PHYSIOPATHOLOGY)
Las voluminosas calcificaciones de la duramadre y la hiperostosis endocraneal difusa que sufría esta paciente, produjeron un efecto de masa considerable sobre ambos hemisferios cerebrales. No es de extrañar que se produjera un cuadro de hipertensión intracraneal crónico y que esta presión se transmitiera a través del líquido cefalorraquídeo que circula por el interior de las vainas de los nervios ópticos hasta los globos oculares, provocando el papiledema.
Las voluminosas calcificaciones de la duramadre y la hiperostosis endocraneal difusa que sufría esta paciente, produjeron un efecto de masa considerable sobre ambos hemisferios cerebrales. No es de extrañar que se produjera un cuadro de hipertensión intracraneal crónico y que esta presión se transmitiera a través del líquido cefalorraquídeo que circula por el interior de las vainas de los nervios ópticos hasta los globos oculares, provocando el papiledema.
FIGURA 12. Imagen FSE T2. La presión que genera la hipertensión intracraneal se transmite hasta la papila ocular a través del LCR que rodea a los nervios ópticos.
FIGURA 13) SS-FSE image. En proyección coronal se puede apreciar los nervios ópticos, el LCR circundante y las vainas nerviosas.
VENTANA DE HUESO (Figuras 14 a 23) BONE WINDOWS)
En las siguientes imágenes, contempladas con ventana de hueso, se puede observar que las calcificaciones son densas, que se han depositado en las dos membranas de la duramadre que forman la hoz del cerebro y que respetan la luz del seno longitudinal superior. Por tanto, este tipo de calcificación idiopática, muy rara, no debe confundirse con la osificación de la hoz que se produce con mucha frecuencia. Es una causa más, insospechada, de hipertensión intracraneal y edema de papila que hay que tener en cuenta.
FIGURA 14)
FIGURA 15)
FIGURA 16)
FIGURA 17)
FIGURA 18)
FIGURA 19)
FIGURA 20)
FIGURA 21)
FIGURA 22)
FIGURA 23)
CASO 2)
Mujer de 86 años que acude a urgencias porque nota desde hace varios meses cefalea persistente, disminución de la visión e inestabilidad. A la exploración física el oftalmológo descubre papiledema bilateral. Se solicita exploración de Tomografía Computarizada craneoencefálica para aclarar la causa del papiledema.
FIGURA 2- A)
FIGURA 2-B)
FIGURA 2-C)
FIGURA 2-D)
FIGURA 2-E)
FIGURA 2-F) Hiperostosis intracraneal idiopática y Osificación de la Hoz.
FIGURA 2-G) Hiperostosis intracraneal idiopática y Osificación de la Hoz.
FIGURA 2-H) Hiperostosis intracraneal idiopática y Osificación de la Hoz.
FIGURA 2-I) Hiperostosis intracraneal idiopática y Osificación de la Hoz.
Concluyendo, la osificación idiopática, difusa, de la duramadre, si además se asocia con hiperostosis intracraneal difusa, pueden provocar hipertensión intracraneal por efecto de masa sobre las estructuras encefálicas. El signo clínico más revelador es el edema de papila y el diagnóstico definitivo se obtiene mediante Tomografía Computarizada. Es un cuadro clínico muy raro de etiología desconocida que sólo hemos observado en dos mujeres mayores.
BIBLIOGRAFÍA)
1) Phadke RV, Agarwal P, Sharma K, et al. Idiopathic duro-optic calcification. A new entity? Clin Radiol 1996; 51:359–61.
2) Nicholson BP, Lystad LD, Singh AD. Idiopathic Dural Optic Nerve Sheath Calcification. Br J Ophthalmol 2011;95:290
3) Suresh Subramaniam, William Fletcher, Fiona Costello. Idiopathic Dural and Optic Nerve Sheath Calcification. A Rare and Unusual cause of Papilledema.
University of Calgary, Calgary, Alberta, Canada
4) Schubert R. Dural Calcifications. Radiology Case.Radiopaedia. Radiopaedia.org
Mazas Artasona L. Papilledema Produced by Diffusse Dural Calcifications: CT Findings. www.elbaulradiológico.com. Octubre 2015.
4) Schubert R. Dural Calcifications. Radiology Case.Radiopaedia. Radiopaedia.org
Mazas Artasona L. Papilledema Produced by Diffusse Dural Calcifications: CT Findings. www.elbaulradiológico.com. Octubre 2015.
































No hay comentarios:
Publicar un comentario