Ya hemos visto que el neumocéfalo es un signo radiológico que, habitualmente, se asocia a traumatismos del macizo facial o de los peñascos y que el antecedente clínico es de gran ayuda a la hora de realizar una exploración de Tomografía Computarizada diagnóstica. Pero, también hay bastantes casos de neumocéfalos espontáneos, es decir, que se descubren en una Tomografía Computarizada craneoencefálica realizada porque el paciente hacía días que perdía un líquido claro por la nariz (rinorrea) o bien había notado trastornos de la audición, vértigos y mareos. En el primer supuesto la rinorrea orienta hacia una fístula espontánea producida en los senos del macizo facial y, en el segundo, a un problema otológico. Por tanto la exploración de Tomografía Computarizada debe orientarse a la región anatómica que manifiesta signos clínicos: licuorrea-senos paranasales, trastornos otológicos-peñascos.
La causa desencadenante de neumocéfalo espontáneo puede ser debida a un aumento de la presión en el aparato respiratorio. Cabe destacar los estornudos, los episodios de tos repetidos o realizar maniobras de valsalva como sonarse con fuerza la nariz, pero en la mayoría de los casos el mecanismo causante permanece sin descubrir.
Las siguientes imágenes corresponden a una paciente de 76 años que acudió a Urgencias por un cuadro clínico de rinorrea persistente de varias semanas de
evolución. Se realizó TAC craneoencefálica que puso de manifiesto neumoencéfalo frontal y pequeñas burbujas de aire dispersas por el espacio subaracnoideo de las cisternas basales y de los surcos de la convexidad cerebral. No refería antecedente traumático ni infeccioso.
FIGURA 1) Cuando se rompe el techo de los senos paranasales, de manera espontánea, (en este caso de la celda esfenoidal izquierda), el aire del seno penetra en la cavidad craneal y difunde por el espacio subdural frontal y subaracnoideo (Flechas). Al mismo tiempo el líquido cefalorraquídeo de las cisternas basales rellena el seno esfenoidal y escapa por el conducto de drenaje sinusal hasta llegar a las fosas nasales. El resultado es inmediato: rinorrea y neumocéfalo.
Key Words: Pneumocephalus. Spontaneous Pneumocephalus. Computed Tomography.
Key Words: Pneumocephalus. Spontaneous Pneumocephalus. Computed Tomography.
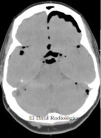
FIGURA 2) Neumocéfalo subdural frontal (flecha amarilla) y neumocéfalo subaracnoideo en la cisternas de los ángulos pontocerebelosos y en la supraselar (Flechas rojas)
FIGURA 3) Más neumocéfalo.
FIGURA 4) Neumocéfalo subdural izquierdo frontal y subaracnoideo, en las cisternas basales, cisura intehemisférica y cisuras de Silvio.
FIGURA 5) Más aire......
FIGURA 6) Colección subdural frontal izquierda y pequeñas burbujas subaracnoideas.
FIGURA 7) Burbujas aéreas en los surcos de la convexidad de ambos hemisferios cerebrales.
FIGURA 8) En la reconstrucción sagital MPR se observa la brecha existente en el techo del seno esfenoidal (flecha) y una colección subdural frontal (asteriscos). El aire despega la aracnoides de la duramadre pero no puede arrancar la granulación de Paccioni, signo inequívoco de que el aire se ha acumulado en el espacio subdural.
FIGURA 9) En esta reconstrución MPR se aprecia el defecto óseo en la celda izquierda del seno esfenoidal (flecha) responsable del cuadro clínico que alertó a la paciente. El seno esfenoidal está relleno de LCR.
FIGURA 10) El abordaje quirúrgico se realizó con fibroscopio por vía transesfenoidal. La flecha roja indica la vía de abordaje quirúrgico. El orificio fue taponado, por los neurocirujanos, con plastia mucosa, fibrina y tejido adiposo.
FIGURA 11) El control realizado a los dos meses era normal y la paciente no ha vuelto a padecer las molestias que le llevaron a Urgencias. No se descubrió la causa que produjo la fístula, pero se solucionó el problema por completo.
BIBLIOGRAFÍA:
1) Bahloul K, Kalamarides M, Bouccara D, Sterkers O and Rey A. Spontaneous otogenic pneumocephalus. Neurochirurgie. 2003 May;49(2-3 Pt 1):110-3.
2) Krayenbühl N, Alkadhi H, Jung HH y Yonekawa Y. Spontaneous otogenic intracerebral pneumocephalus: case report and review of the literature. Eur Arch Otorhinolaryngol. 2005 Feb;262(2):135-8. Epub 2004 Mar 5.
2) Krayenbühl N, Alkadhi H, Jung HH y Yonekawa Y. Spontaneous otogenic intracerebral pneumocephalus: case report and review of the literature. Eur Arch Otorhinolaryngol. 2005 Feb;262(2):135-8. Epub 2004 Mar 5.











No hay comentarios:
Publicar un comentario