Cuando se produce la oclusión brusca del flujo sanguíneo en una arteria del encéfalo, del hígado o del riñón, por ejemplo, el parénquima irrigado por esa arteria se muere y el resultado final es un infarto. En el hígado o en el riñón, la zona infartada cicatriza al cabo del tiempo y se recupera la función de ambas vísceras con toda normalidad. En el cerebro no sucede así, porque las funciones de relación se agrupan en "áreas motoras y sensitivas" que tienen una distribución topográfica muy definida en el cerebro. Por eso cuando se produce un infarto cerebral y se mueren las neuronas responsables de una función determinada, como el habla o la visión, el déficit ya no se recuperará con el paso del tiempo como sucede con los infartos hepáticos o renales.
En las siguientes imágenes presentamos un caso de POCI subagudo izquierdo (24 horas). La obstrucción ha afectado al tronco de la arteria cerebral posterior izquierda y esa circunstancia, nos permite apreciar con total precisión, el territorio irrigado por dicha arteria y predecir las secuelas que padecerá esa persona, un varón de 65 años.
En las siguientes imágenes presentamos un caso de POCI subagudo izquierdo (24 horas). La obstrucción ha afectado al tronco de la arteria cerebral posterior izquierda y esa circunstancia, nos permite apreciar con total precisión, el territorio irrigado por dicha arteria y predecir las secuelas que padecerá esa persona, un varón de 65 años.
FIGURA 1) Angiografía por Resonancia Magnética, con Reconstrucción de Máxima Intensidad (MIP) de las principales arterias que constituyen el Polígono de Willis. Representación aproximada del territorio irrigado por la arteria Cerebral Posterior Izquierda.
FIGURA 2) Pequeña área hipodensa (flechas) que representa un infarto isquémico subagudo en el lóbulo temporal izquierdo.
FIGURA 3) Siguiente corte más cefálico. Area hipodensa (flechas), circunscrita, que representa el infarto isquémico. Se aprecia con claridad cómo respeta el hemisferio izquierdo del cerebelo, irrigado por la arteria cerebelosa postero-superior izquierda.
FIGURA 4) En la zona infartada se ha producido la muerte de las células: gliales, neuronas y las que forman el endotelio capilar. Eso provoca la extravasación de agua desde los capilares lesionados y del citoplasma de las células. El resultado es un tejido muerto "encharcado" de agua. Por eso adquiere esa tonalidad oscura y presenta unos valores de atenuación más bajos que el tejido normal: Infarto isquémico subagudo (hipodenso 16 UH).
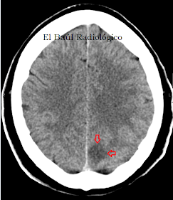
FIGURA 5) Infarto isquémico subagudo: POCI izquierdo.
FIGURA 6) Infarto isquémico subagudo: POCI izquierdo. El área hipodensa delimita perfectamente el territorio de la arteria cerebral posterior izquierda.
FIGURA 9) En el último corte apenas es perceptible el infarto, pero en toda la secuencia de imágenes que se han mostrado hemos podido apreciar el territorio exacto irrigado por la arteria cerebral posterior izquierda y el resultado de un POCI secundario a la oclusión de la rama principal de la arteria.
Servicio de radiodiagnóstico (Neurorradiología). Hospital Universitario Miguel Servet (HUMS) Zaragoza. Spaiñ









No hay comentarios:
Publicar un comentario