La Difusión es un fenómeno físico que se observa frecuentemente en la naturaleza. Implica movimiento. El desplazamiento de las moléculas de agua en los tejidos del cuerpo humano, que se produce de manera aleatoria en cualquier dirección del espacio, se denomina Difusión Isotrópica del agua.
En Tomografía por Resonancia Magnética (TRM) (IRM) se aprovecha esta propiedad física de las moléculas del agua, para obtener imágenes, desde una perpectiva fisiopatológica y decimos, por tanto, que dichas imágenes están potenciadas en Difusión Isotrópica (DWI), para diferenciarlas de las potenciaciones clásicas T1, T2 y Densidad Protónica. Mediante esta potenciación es posible captar la señal que emiten los núcleos de Hidrógeno que forman parte de las moléculas de agua, cuando su velocidad de difusión se enlentece por algún problema patológico: isquemia aguda, abscesos o neoplasias, y representar ese tejido patológico en imágenes.
Las imágenes potenciadas en Difusión Isotrópica (Diffusion Weighted Images DWI-MRI) son muy distintas a todas las demás de TRM porque, a diferencia de lo que sucede con las imágenes morfológicas de Espín Eco o de Eco de Gradiente que se reconstruyen, básicamente, con la señal de resonancia proveniente de los núcleos de hidrógeno que forman parte de las moléculas de agua y de la grasa, las imágenes de Difusión Isotrópica sólo utilizan la señal de los núcleos de Hidrógeno que integran las moléculas de agua. Por ese motivo, el hueso y la grasa siempre aparecen representadas en negro, en esta potenciación. Es una de las características más importantes
La secuencia de Difusión Isotrópica (DWI) es muy utilizada en el rastreo de tumores y metástasis en cualquier parte del organismo y es una de las técnicas de Diagnóstico por Imagen más apreciadas en Neurorradiologia, donde se usa de manera estándar en todos los protocolos de exploración. El mayor inconveniente de esta secuencia radica en que sólo está disponibles en los modelos de alto campo de 1 a 3 Tesla.
A continuación se muestran algunas imágenes de TRM craneoencefálica, potenciadas en Difusión Isotrópica y se destacan sus características diferenciales con las demás. Los más característico es el aspecto algodonoso, difuminado, que presentan las partes blandas encefálicas que, en condiciones normales, se representan en una tonalidad gris; los huesos del cráneo y del macizo facial, aparecen oscuros con algunos artefactos de susceptibilidad magnética en la base craneal. Y el líquido cefalorraquídeo y el gas de los senos paranasales también se reproducen en oscuro.
FIGURA 1) En esta imagen de TC craneoencefálica se han oscurecido, a propósito. el hueso del cráneo y la grasa subcutánea, que no aparecen en las imágenes potenciadas en Difusión Isotrópica, porque apenas contienen moléculas de agua. En cambio la piel sí que aparecera representada, como un trazo muy fino que rodea el perímetro craneal.
Key Words: Isotropic Diffusion Weighted Imaging.MR Imaging. DWI.
Key Words: Isotropic Diffusion Weighted Imaging.MR Imaging. DWI.
FIGURA 2) En esta imagen de la base del cráneo sólo se identifican, como unas manchas blanco grisáceas, el bulbo, las amígdalas y los lóbulos temporales. Los huesos de la base del cráneo desaparecen, en condiciones normales.
FIGURA 3) En ésta, se identifica el parénquima encefálico, contorneado por un fino trazo que corresponde a la piel (flechas). Los peñascos tambien se representan como dos sombras oscuras (asteriscos)
FIGURA 4) El trazo de la piel se observa con mayor nitidez (Flechas)
FIGURA 5) Entre la piel (flechas) y el parénquima encefálico se observa una banda oscura que representa al cráneo y a la grasa subcutánea.
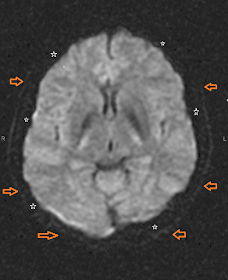
FIGURA 6) La banda oscura que representa al hueso craneal se hace más patente en esta imagen (asteriscos) delimitada siempre por la linea del cuero cabelludo (flechas).
FIGURA 7) El líquido cefalorraquídeo de los ventrículos siempre se representa en negro, en esta potenciación.
FIGURA 9) A medida que las imágenes reproducen los cortes más cefálicos, el anillo del cuero cabelludo, que rodea al cerebro, se hace más visible.
FIGURA 11 ) Imagen caracteristica, de la convexidad de ambos hemisferiois cerebrales, contorneada por el cráneo, en negro, y la piel en gris (flechas)
Servicio de Radiodiagnóstico (Neurorradiología). Hospital Universitario Miguel Servet (HUMS) Zaragoza.Spaiñ











No hay comentarios:
Publicar un comentario